

| 治療した年代: | 2005年終了 |
| 患者さんのご希望: | できればインプラントで |
| 治療部位: | 前歯 |
| 患者さんの感想: | |
| 以前に1回壊れて、引っ張り出してもらったのですが、おせんべいで壊してしまいました。横の歯を削りたくないので、インプラントをお願いしました。治療前よりもきれいになったように思います。安心して噛めるのでとてもうれしいです。 |
壊れる1年前の写真
一番左がはずれた犬歯。もともと小さかったので、ひび割れして差し歯が脱落。
仮歯を入れた状態です。
仮歯です。

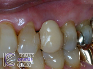
歯ぐきの外科治療により、審美的にも周囲と調和の取れた歯になりました。
院長の解説
レントゲンで見ても歯根の短さからわかると思いますが、今回インプラントになった歯は以前に歯根を矯正的に挺出させた歯です。7年ほど使えたんですが、残念ながら歯根破折となりました。その治療の際も「ブリッジになるのを避けたい」ということでしたので、インプラントをお勧めしました。
治療期間中は前後の歯にプラスチックで人工歯を接着し、審美的には問題なく経過することができました。

週刊朝日MOOK
歯科医選びの決定版!歯周病の「いい歯医者」リストにかとう歯科が掲載されました。

| 月 | 火 | 水 | 木 | 金 | 土 | 日 |
| ○ | ○ | 休 | ○ | ○ | ○ | 休 |
AM:9:00〜13:00 / PM:14:30〜18:30
※休診日:日・祝祭日・祝祭日のない